• Нацпроекты
  • Новости
  • Программа передач
  • Программы
  • Трансляции
  • Настройки канала
  • Контакты
Новости
Все Нацпроекты 100-летие «Зенита» 100 лет моему «Зениту» Репортаж Город Культура Политика Смольный Общество Экономика Происшествия Наука и технологии Спорт Армия В мире
Телеканал
Программа передач Программы Настройка канала Контакты Информация для пользователей сайта Политика конфиденциальности Политика использования файлов cookie
Связь
RSS Вконтакте Twitter YouTube Одноклассники Яндекс.Дзен
Поиск
Школьного бухгалтера судят за попытку нанять убийцу для расправы над соседкой по коммунальной квартире В Ленобласти на озере Самро двое мужчин отправились проверять жерлицы и не вернулись Политехнический университет запустит новый спутник в космос до конца года На Ланском шоссе прорвало трубу с горячей водой В «Ленинградку» перешла чемпионка мира и Европы, играющая за сборную Сербии
Смотреть эфир
18 декабря 02:54
$00.0000
€00.0000
Долгопрудненская больница
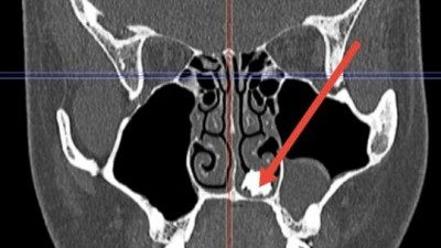
Покрытый грибком молочный зуб достали из носа 22-летнего пациента
Покрытый грибком молочный зуб достали из носа 22-летнего пациента
В Долгопрудненскую больницу обратился 22-летний молодой человек с жалобами на затяжной насморк. Обследование, проведенное врачами, выявило плотное костное образование в носовой полости пациента.
Наука и технологии
Лента новостей
Ещё
Квинтет вымогателей: пятый участник дерзкой группы отправлен за решетку
Квинтет вымогателей: пятый участник дерзкой группы отправлен за решетку
17 декабря 2025 23:25
Школьного бухгалтера судят за попытку нанять убийцу для расправы над соседкой по коммунальной квартире
Школьного бухгалтера судят за попытку нанять убийцу для расправы над соседкой по коммунальной квартире
17 декабря 2025 23:09
Такер Карлсон заявил, что Трамп может начать войну с Венесуэлой в ближайшие часы
Такер Карлсон заявил, что Трамп может начать войну с Венесуэлой в ближайшие часы
17 декабря 2025 22:59
Мобильные номера россиян планируют зарегистрировать в единой базе для защиты от дронов
Мобильные номера россиян планируют зарегистрировать в единой базе для защиты от дронов
17 декабря 2025 22:53
Каким запомнится 2025 год для Федерации дзюдо Санкт-Петербурга
Каким запомнится 2025 год для Федерации дзюдо Санкт-Петербурга
17 декабря 2025 22:52
Наш веб-сайт использует файлы cookie и сохраняет их на Вашем устройстве, чтобы сделать перемещения по сайту более удобными для Вас, а также для анализа статистики сайта и содействия нашей маркетинговой деятельности. Продолжая просмотр этого сайта, Вы соглашаетесь на обработку файлов cookie в соответствии с Политикой использования АО «ГАТР» файлов cookie.
Принять
197022, Санкт-Петербург, ул. Чапыгина, 6
+7 (812) 335-15-71
Внимание! Отдельные видеоматериалы, размещенные на настоящем сайте, могут содержать информацию, предназначенную для лиц, достигших 18 лет.
Новости
Все Репортаж Коронавирус Город Культура Политика Смольный Общество Экономика Происшествия Наука и технологии Спорт Армия В мире
Телеканал
Программа передач Программы Настройка канала Контакты Информация для пользователей сайта Политика конфиденциальности Политика использования файлов cookie
Связь
RSS Вконтакте YouTube Одноклассники Яндекс.Дзен MAX