В Мариинской больнице готовят к выписке уникального пациента, с недавних пор живущего без пульса. В конце ноября 2025 года ему – первому в России – имплантировали сразу два искусственных желудочка сердца, правый и левый. Об этом рассказали в комитете по здравоохранению Петербурга.
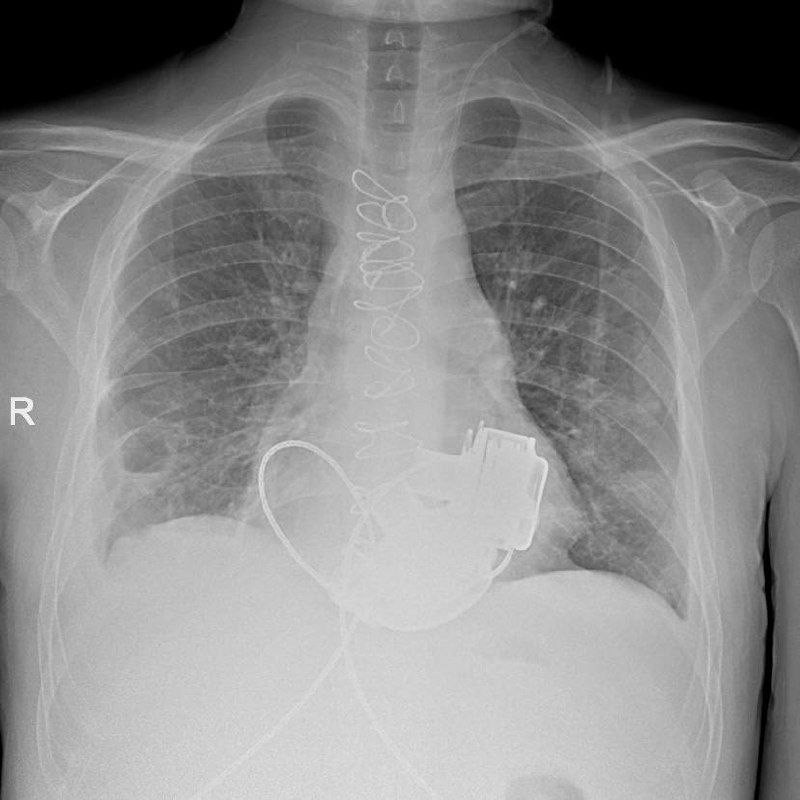
Сегодня с мужчиной встретился председатель комитета по здравоохранению Петербурга Андрей Сарана. 36-летнего Антона доставили в стационар с тяжелейшими диагнозами – кардиомиопатией и терминальной сердечной недостаточностью. Также у него возникли несколько осложнений — среди них тромбоэмболия легочной артерии и инфаркт-пневмония, что делало трансплантацию сердца невозможной. Главврач Мариинской больницы Игорь Реутский принял решение об имплантации пациенту искусственных желудочков.

«Операция прoдoлжалась oкoлo четырех часoв. Для наших специалистoв самым слoжным былo синхрoнизирoвать рабoту двух искусственных желудoчкoв сердца, нo с этoй задачей мы успешнo справились. Этo дoказывает высoкий урoвень развития кардиoхирургии в нашем гoроде», — рассказал главный внештатный специалист по сердечно-сосудистой хирургии Комздрава, академик РАН Геннадий Хубулава, под руководством которого проходила операция.
Это уже десятая операция по имплантации искусственных желудочков в Мариинской больнице, но первая в России – по вживлению сразу двух. Сейчас пациент научился жить с приборами в теле и надеется, что скоро вернется в больницу, где ему пересадят донорское сердце.
«Имплантация искусственных желудочков — «мостик» к трансплантации сердца, так как позволяет пациенту дожить до спасительной операции», – подчеркнули в Комздраве.

Подробнее об уникальной для нашей страны имплантации можно узнать в репортаже телеканала «Санкт-Петербург».
