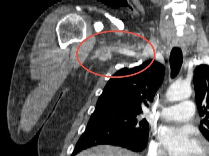
34-летний мужчина обратился за медицинской помощью в больницу в Долгопрудном. Он жаловался на полное онемение правой руки, слабость, головокружение, боль в плече и шее, а также «вспышки» в глазах. В ходе обследования у него был выявлен тромб размером 25 сантиметров.
Телеканал 360° сообщает, что у пациента симптомы появились несколько часов назад и со временем нарастали, и он решил обратиться за помощью, когда состояние значительно ухудшилось. Врачи обнаружили отсутствие кровотока в подмышечной, подключичной и плечевой артериях с правой стороны.
Сосудистый хирург Михаил Пырля объяснил, что причиной онемения оказался сгусток тромболитической массы в области плеча. Такое состояние может быть связано с генетическими особенностями, неправильным питанием или нарушением метаболизма. Часто такая патология наблюдаются у пожилых людей.
В ходе полуторачасовой операции врачами был успешно удален тромб с помощью специального баллона, который, расправившись, контролируемо продвинул сгусток в сосуде к разрезу в районе локтевого сгиба. После этого его удалось извлечь с помощью специального крючка. Без операции мужчине грозила ампутация конечности, а в случае отрыва части тромба — угроза для жизни.
Операция прошла успешно, кровоток и функции руки полностью восстановлены. В настоящее время мужчина чувствует себя хорошо и уже выписан домой.
Ранее телеканал «Санкт-Петербург» сообщал, что в НИИ скорой помощи им. И. И. Джанелидзе госпитализировали женщину с терминальным гидронефрозом.
