Врачи НИИ имени Джанелидзе спасли женщину, в бронхи которой попал зубной протез. Рассказ об этом случае появился в телеграмм-канале больницы 31 августа.
60-летняя женщина несколько месяцев страдала от тупой боли в области груди справа. Когда ей резко стало хуже, она вызвала скорую и попала в Центр экстренной медицины НИИ. За две недели до этого пациентка обращалась в один из региональных стационаров, где ей дренировали и промыли плевральную полость, откачав около литра гноя.
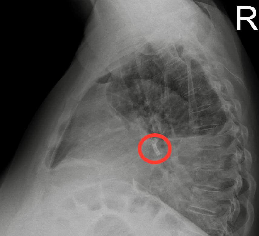
В ходе диагностики в НИИ имени Джанелидзе выяснилось, что в промежуточном бронхе справа находится инородное тело – его было видно на рентгеновском снимке и на КТ. Оказалось, что около года назад женщина во сне вдохнула часть зубного протеза. Не найдя эту часть, она решила, что где-то её потеряла.

Металлический предмет, пробыв в бронхе около года, вызвал гнойное воспаление плевральной полости. Инфекция попадала в плевральную полость из лёгкого через образовавшийся свищ.
Зубной протез длиной около полутора сантиметров из бронха пациентки извлёк Муса Сафоев, заведующий эндоскопическим отделением отдела неотложной хирургии, кандидат медицинских наук.
Сейчас женщина чувствует себя удовлетворительно и лечится в профильном городском стационаре.
